Direct bonding
ダイレクトボンディング

歯を削る量を最小限に抑え、審美性にもすぐれた治療です
ダイレクトボンディング(審美コンポジットレジン修復)は、歯をほとんど削らずに、自然な見た目を取り戻すことができる審美治療です。 色調や透明感が異なる十数種類の審美用レジン(樹脂)を、歯に直接少しずつ丁寧に盛り重ねていくことで、本来の歯の色合いや形を天然歯のように再現します。 この治療の最大の特長は「削る量の少なさ」です。従来の被せ物や詰め物と比べ、歯への負担を最小限に抑えながら、すき間の改善、詰め物の変色、欠けた歯の修復など、見た目のお悩みを自然に美しく整えることが可能です。 「歯をなるべく削りたくない」「自然な仕上がりにしたい」という方に特におすすめの治療法です。
こんなお悩みに対応できます
- 削る量を最小限にしてほしい
- 前歯の隙間を埋めたい
- 歯の形やバランスを整えたい
- なるべく歯を削らずに治療したい
- 変色した詰め物を他の歯と同じ色にしたい
- 金属の詰め物をなくしたい
- 歯が欠けてしまった
- 虫歯を見た目にもきれいに治したい
ダイレクトボンディングの特徴とメリット
最も削らない治療
型取り不要のため、箇所だけをピンポイントで整える治療です。
従来のクラウンやインレーに比べて、天然の歯を多く残せるのが大きな魅力です。
天然歯のような見た目に仕上がる
色の異なる複数の素材を丁寧に重ねて整えることで、まるで本物の歯のような自然な質感や透明感を再現できます。
治療期間が短い
お口の中で直接素材を盛り付けていくため、型取りや外部での製作が不要。
そのため、比較的少ない回数で治療を完了することが可能です。
経済的な選択肢
セラミックや矯正治療に比べて、費用面でも負担が少なく、審美性とコストのバランスに優れた治療法です。
美しさが長持ち
保険診療のレジンと異なり、変色しにくい高品質な素材を使用。定期的なクリーニングで、きれいな状態を長くキープできます。
修理・補修がしやすい
欠けや色の変化があった場合でも、必要な部分だけを修復できるため、歯全体をやり直す必要がありません。
ダイレクトボンディング 治療の流れ
step.1
まずはカウンセリングから(初診)
気になる症状やご希望について、丁寧にお伺いします。
歯の色や形、歯並び、噛み合わせの状態を確認しながら、ダイレクトボンディングの治療内容(メリット・デメリット・適応・治療回数・費用など)をご説明。
お口の中の写真を一緒に見ながら、わかりやすくお伝えしますので、不安なことや気になる点があれば遠慮なくご相談ください。

step.2
必要に応じて口腔内スキャニングをします
歯の形や隙間を整える治療では、専用の型取りを行う場合があります。
仕上がりをより美しく自然にするために、模型上でデザインを行い、治療に使うガイドを作製します。
ただし、歯の色調や小さな着色など、歯の形を大きく変えないケースでは、型取りは不要なこともあります。
また、ホワイトニングをご希望の方や、歯に着色・歯石が見られる場合は、事前にクリーニングやスケーリング(歯石除去)を行います。

step.3
お口の中で自然な歯の形を再現(充填)
複数の色や透明感をもつレジン(歯科用プラスチック)を使って、実際にお口の中で歯の形や色を丁寧に再現していきます。
事前にデザインしたイメージに沿って、より自然で違和感のない仕上がりを目指します。
治療時間は内容により異なりますが、目安として30~60分ほどかかります。

step.4
仕上げの微調整と研磨を行います
レジンを詰めた直後は、歯の乾燥によって一時的に色が変わって見えることがあります。
そのため、後日、色や表面の状態を改めて確認し、必要に応じて微調整や研磨を行います。
きれいな状態を保つために、治療後も定期的なメンテナンスをおすすめしています。

治療例
ダイレクトボンディング
- 患者様情報
- 30歳代 女性
- 治療期間・回数
- 約1回
- 概算治療費
- 30,000円
- 治療計画
- 患者様は左下第1・第2大臼歯に金属のインレー修復がなされており、二次カリエス(詰め物の隙間からの虫歯)と審美的な改善希望を主訴として来院されました。 金属修復物を除去した後、齲蝕(うしょく:虫歯)部を完全に除去し、健全歯質を保存しながら形成を行いました。歯髄(神経)への影響がないことを確認の上、ダイレクトボンディングによるコンポジットレジン修復を選択しました。 治療はラバーダムを使用し、無菌的かつ確実な接着操作を行える環境下で実施。形態・色調ともに自然歯に近い修復を目指しました。
- 担当医より
- 従来の金属の詰め物を除去し、白く自然な見た目の「ダイレクトボンディング」という方法で修復を行いました。 この治療は、虫歯を除去したあとに白い樹脂(コンポジットレジン)を直接歯に盛り付けて形を整える方法で、歯を削る量を最小限に抑えることができます。また、金属を使わないため、見た目も自然で、金属アレルギーの心配もありません。 治療後の写真では、金属の詰め物があった部分が、周囲の歯とほとんど見分けがつかない自然な仕上がりとなっております。
治療前
治療後
メリット
- ・歯を削る量が少ない
- ・即日で治療が完了する
- ・金属を使わないため見た目が自然
- ・接着力が強く、歯との一体感がある
- ・修復後の再治療がしやすい
- ・金属アレルギーの心配がない
- ・セラミック修復と比較すると、型取り・技工が不要なため比較的コストを抑えやすい
デメリット(リスク)
- ・大きな欠損には適応できない場合があります
- ・保険適用外の自由診療となります
- ・強い力がかかる部位では、破折や摩耗のリスクがあります
ダイレクトボンディング
- 患者様情報
- 20歳代 男性
- 治療期間・回数
- 約1回
- 概算治療費
- 30,000円
- 治療計画
- 患者様は左下第一大臼歯に金属インレー修復が施されていましたが、インレー周囲に二次う蝕が認められ、審美的・機能的改善を希望されたため来院されました。 金属修復物を除去後、虫歯部分を精密に除去し、歯の保存量を最大限に考慮した形成を実施。歯髄の露出や深部感染は認められなかったため、神経の保存が可能と判断し、ダイレクトボンディングによる審美修復を計画しました。 ラバーダム防湿を行い、無菌的な環境下で接着操作を行いました。形態は隣接歯との調和を意識し、噛み合わせや清掃性にも配慮した形に整えました。
- 担当医より
- 今回の治療では、金属の詰め物(インレー)を除去し、白くて自然な歯の色に近い「ダイレクトボンディング」という方法で修復を行いました。 ダイレクトボンディングとは、白いレジン素材を直接お口の中で盛り付け、形を整えて光で硬化させる治療法です。歯を削る量を最小限に抑え、見た目も非常に自然に仕上がるため、審美性と機能性の両立が可能です。 治療後の写真をご覧いただくと、どこを治療したのか分からないほど自然な仕上がりとなっているのがお分かりいただけると思います。
治療前
治療後
メリット
- ・歯を削る量が少なく、歯にやさしい
- ・即日で治療が完了することが多い
- ・金属を使用しないため見た目が自然
- ・強い接着力で、歯との一体感がある
- ・修復後も再治療がしやすい
- ・金属アレルギーの心配がない
- ・セラミック修復に比べ、型取りや技工を行わないためコストを抑えやすい
デメリット(リスク)
- ・大きな欠損には適応できない場合があります
- ・保険適用外の自由診療となります
- ・強い力がかかる部位では、破折や摩耗のリスクがあります
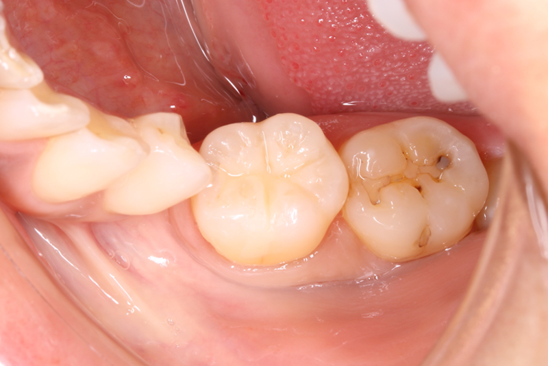
ダイレクトボンディング
- 患者様情報
- 20歳代 女性
- 治療期間・回数
- 約1回
- 概算治療費
- 45,000円
- 治療計画
- 患者様は右下小臼歯に咬耗とう蝕を伴う欠損があり、食渣の停滞と審美的な問題を気にされて来院されました。レントゲンと視診にて二次う蝕の進行は軽度で、神経への影響も認められなかったため、保存修復を第一選択としました。 必要最小限の切削を行い、健全歯質を極力温存した上で、ダイレクトボンディングにて修復する計画としました。ラバーダム防湿のもと、エナメル質と象牙質に対して適切な接着処理を施し、形態と機能を回復しました。
- 担当医より
- この歯は、隣の歯との間が虫歯になっており内部まで深く進行していました。診査の上、ご自身の歯の表層の大部分を残すことができると判断したため「ダイレクトボンディング」を行いました。 この治療法のメリットは、歯を大きく削ることなく、自然な見た目と噛む力をしっかり回復できることです。また、金属を使わないため見た目も美しく、金属アレルギーの心配もありません。 治療後は、周囲の歯となじむ自然な仕上がりとなっています。今後は、虫歯の再発を防ぐために定期的なメンテナンスとクリーニングをおすすめしました。
治療前
治療後
メリット
- ・歯を削る量が少なく、歯にやさしい
- ・即日で治療が完了することが多い
- ・金属を使用しないため見た目が自然
- ・強い接着力で、歯との一体感がある
- ・修復後も再治療がしやすい
- ・金属アレルギーの心配がない
- ・セラミック修復に比べ、型取りや技工を行わないためコストを抑えやすい
デメリット(リスク)
- ・大きな欠損には適応できない場合があります
- ・保険適用外の自由診療となります
- ・強い力がかかる部位では、破折や摩耗のリスクがあります
ダイレクトボンディング
- 患者様情報
- 20歳代 女性
- 治療期間・回数
- 約1回
- 概算治療費
- 30,000円
- 治療計画
- 本症例は古いコンポジット充填処置部が著しく咬耗し、再治療が必要となった症例です。 X線検査より、内部へのう蝕の進行はほとんどなく最小限の切削での処置が可能と診断しました。 MI(Minimal Intervention:最小限の侵襲)の治療方針に基づき、以前の充填物を除去後、エナメル質と象牙質の接着処理を行い、ダイレクトボンディングにて審美的・機能的修復を行いました。
- 担当医より
- 今回の治療では著しくすり減っていた(咬耗)歯に対して、ダイレクトボンディングによる歯冠修復を行いました。 以前に施されたレジン修復を一度取り除き、残っている歯質は一切削らず、できる限り自然な仕上がりを目指しています。 また写真にありますように、より本物の歯に近づけるため患者様とご相談のうえ、溝の部分にステインを加えています。
治療前
治療後
メリット
- ・歯を削る量が少なく、歯にやさしい
- ・即日で治療が完了することが多い
- ・金属を使用しないため見た目が自然
- ・強い接着力で、歯との一体感がある
- ・修復後も再治療がしやすい
- ・金属アレルギーの心配がない
- ・セラミック修復に比べ、型取りや技工を行わないためコストを抑えやすい
デメリット(リスク)
- ・大きな欠損には適応できない場合があります
- ・保険適用外の自由診療となります
- ・強い力がかかる部位では、破折や摩耗のリスクがあります
ダイレクトボンディングの費用
- ダイレクトボンディング(単純)
- 30,000円(税別)
- ダイレクトボンディング(複雑)
- (単純 プラス 隣接1面)45,000円(税別)
(単純 プラス 隣接2面)60,000円(税別)
よくあるご質問
- Q.
- ダイレクトボンディングはどんな治療ですか?
- A.
- 歯を最小限に削り、特殊な審美用レジン(樹脂)を直接歯に盛りつけて、自然な見た目に整える治療法です。すき間の改善、欠けた歯、変色した詰め物のやり替えなどに使われております。
- Q.
- 前歯のすき間は、ダイレクトボンディングで治せますか?
- A.
- 前歯のすき間を自然に埋める方法として、ダイレクトボンディングはとても有効です。選択肢はほかにもございますので、ご希望をお伺いしたうえで、最適な治療方法を提案いたします。
- Q.
- 歯がかけてしまったのですが、ダイレクトボンディングで治せますか?
- A.
- 欠けた部分の大きさや場所によって、ダイレクトボンディングに適応できるかどうかが異なりますのでまずはご相談ください。
- Q.
- 結婚式までに歯のすき間をきれいにしたいのですが、間に合いますか?
- A.
- はい、ダイレクトボンディングは内容により、早ければ即日に仕上がるケースが多く、結婚式などの大切なイベント前にも対応できる場合がございます。万が一お日にちに余裕がない場合も、まずはとどろき歯科矯正歯科までご相談ください。
- Q.
- 将来的にセラミック治療に切り替えることはできますか?
- A.
- ダイレクトボンディングを選択した後、セラミック治療に移行することも可能です。ご希望に合わせた治療を一緒に考えていきますので、どうぞご安心ください。
- Q.
- ホワイトニングとダイレクトボンディングは一緒にできますか?
- A.
- ボンディングで使う素材はホワイトニングでは白くならないため、歯全体のトーンを明るくしたい場合は、先にホワイトニングを行ってからダイレクトボンディングを行うことをお勧めしております。